Implanty co to?
Implanty to sztuczne struktury, które są wprowadzane do organizmu w celu zastąpienia brakujących elementów, najczęściej zębów. W przypadku implantów stomatologicznych, ich głównym celem jest przywrócenie funkcji żucia oraz estetyki uśmiechu. Proces wszczepiania implantów polega na umieszczeniu tytanowego słupa w kości szczęki lub żuchwy, który następnie integruje się z tkankami kostnymi pacjenta. Tytan jest materiałem biokompatybilnym, co oznacza, że nie wywołuje reakcji alergicznych ani odrzutu ze strony organizmu. Po kilku miesiącach gojenia, na implancie można zamontować koronę protetyczną, co pozwala na uzyskanie naturalnego wyglądu zęba. Warto zaznaczyć, że implanty mogą być stosowane nie tylko w przypadku pojedynczych braków zębowych, ale również w sytuacjach, gdy brakuje większej liczby zębów lub nawet całych łuków zębowych.
Jakie są rodzaje implantów i ich zastosowanie
Wyróżniamy kilka rodzajów implantów, które różnią się zarówno budową, jak i przeznaczeniem. Najpopularniejsze są implanty endoossealne, które są umieszczane bezpośrednio w kości szczęki. Istnieją także implanty podperiostealne, które są zakładane na kości szczęki i są stosowane u pacjentów z niewystarczającą ilością kości do wszczepienia standardowego implantu. Kolejnym rodzajem są implanty miniaturowe, które mają mniejsze rozmiary i są często wykorzystywane w przypadkach tymczasowych lub jako wsparcie dla protez. Wybór odpowiedniego rodzaju implantu zależy od indywidualnych potrzeb pacjenta oraz oceny stanu zdrowia jamy ustnej przez lekarza dentystę. Ważne jest również to, że każdy rodzaj implantu ma swoje specyficzne wskazania oraz przeciwwskazania do zastosowania.
Jak przebiega proces wszczepiania implantów krok po kroku

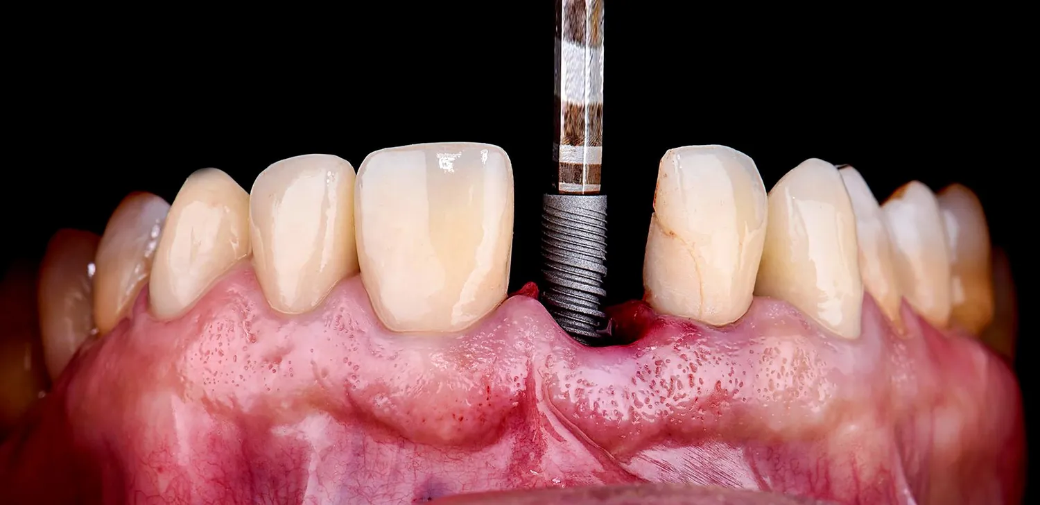
Implanty co to?
Proces wszczepiania implantów składa się z kilku etapów, które wymagają staranności oraz precyzji ze strony lekarza. Pierwszym krokiem jest szczegółowa diagnostyka, która obejmuje badania obrazowe takie jak zdjęcia rentgenowskie czy tomografia komputerowa. Na podstawie tych badań lekarz ocenia stan kości oraz planuje miejsce wszczepienia implantu. Następnie pacjent przechodzi zabieg chirurgiczny polegający na umieszczeniu implantu w kości. Zabieg ten odbywa się zazwyczaj w znieczuleniu miejscowym i trwa od 1 do 2 godzin. Po wszczepieniu implantu następuje okres gojenia, który trwa od kilku tygodni do kilku miesięcy. W tym czasie implant integruje się z kością poprzez proces zwany osteointegracją. Po zakończeniu tego etapu można przystąpić do wykonania korony protetycznej, która zostanie zamocowana na implancie.
Czy implanty mają jakieś przeciwwskazania zdrowotne
Choć implanty stomatologiczne są skuteczną metodą leczenia braków zębowych, istnieją pewne przeciwwskazania zdrowotne, które mogą uniemożliwić ich zastosowanie. Osoby cierpiące na choroby przewlekłe takie jak cukrzyca czy osteoporoza powinny być szczególnie ostrożne przed podjęciem decyzji o wszczepieniu implantu. Cukrzyca może wpływać na proces gojenia ran oraz integrację implantu z kością, dlatego ważne jest jej odpowiednie kontrolowanie przed zabiegiem. Osteoporoza natomiast może prowadzić do osłabienia struktury kostnej, co utrudnia stabilne umiejscowienie implantu. Dodatkowo palenie papierosów również zwiększa ryzyko powikłań związanych z gojeniem się ran pooperacyjnych oraz może wpływać na sukces całego zabiegu. Inne czynniki to choroby przyzębia czy infekcje jamy ustnej, które mogą negatywnie wpłynąć na wyniki leczenia.
Jak dbać o implanty aby zapewnić ich trwałość
Aby zapewnić trwałość implantów stomatologicznych oraz uniknąć ewentualnych powikłań, niezwykle istotna jest odpowiednia higiena jamy ustnej. Należy regularnie myć zęby co najmniej dwa razy dziennie oraz stosować nić dentystyczną do czyszczenia przestrzeni międzyzębowych. Ważne jest również korzystanie z płynów do płukania jamy ustnej zawierających składniki antybakteryjne, które pomogą w utrzymaniu zdrowia dziąseł wokół implantu. Regularne wizyty kontrolne u stomatologa są kluczowe dla monitorowania stanu zdrowia jamy ustnej oraz wykrywania ewentualnych problemów na wczesnym etapie. Pacjenci powinni również unikać twardych pokarmów oraz nadmiernego obciążania implantu podczas żucia, co może prowadzić do uszkodzeń lub luzowania się struktury. Odpowiednia dieta bogata w składniki odżywcze wspiera proces gojenia i regeneracji tkanek wokół implantu.
Jakie są koszty związane z implantami i ich finansowanie
Koszty związane z wszczepieniem implantów stomatologicznych mogą się znacznie różnić w zależności od wielu czynników, takich jak lokalizacja gabinetu, doświadczenie lekarza oraz rodzaj użytych materiałów. Średni koszt jednego implantu w Polsce wynosi od kilku do kilkunastu tysięcy złotych, co obejmuje zarówno zabieg chirurgiczny, jak i późniejsze prace protetyczne. Warto jednak pamiętać, że cena może wzrosnąć w przypadku konieczności przeprowadzenia dodatkowych zabiegów, takich jak augmentacja kości czy sinus lifting, które są niezbędne w przypadku niewystarczającej ilości tkanki kostnej. Wiele osób zastanawia się nad możliwościami finansowania leczenia implantologicznego. W Polsce istnieją różne opcje, takie jak kredyty medyczne, które pozwalają na rozłożenie płatności na raty. Niektóre kliniki oferują również programy lojalnościowe lub zniżki dla pacjentów. Warto również sprawdzić, czy posiadamy ubezpieczenie zdrowotne, które może pokrywać część kosztów związanych z leczeniem implantologicznym.
Jakie są opinie pacjentów na temat implantów
Opinie pacjentów na temat implantów stomatologicznych są zazwyczaj pozytywne, a wiele osób podkreśla znaczną poprawę jakości życia po ich wszczepieniu. Pacjenci często wskazują na komfort użytkowania oraz naturalny wygląd uzębienia jako główne zalety implantów. Dzięki nim można swobodnie jeść ulubione potrawy bez obaw o dyskomfort czy ból związany z noszeniem tradycyjnych protez. Wiele osób docenia również to, że implanty nie wymagają specjalnej pielęgnacji poza standardową higieną jamy ustnej, co czyni je wygodnym rozwiązaniem. Jednakże niektórzy pacjenci mogą mieć obawy związane z samym zabiegiem wszczepienia implantu oraz okresem gojenia. Warto zaznaczyć, że odpowiednia informacja oraz konsultacja ze specjalistą mogą pomóc rozwiać te wątpliwości i przygotować pacjenta na nadchodzące wyzwania. Często pacjenci dzielą się swoimi doświadczeniami na forach internetowych oraz w mediach społecznościowych, co może być pomocne dla osób rozważających tę formę leczenia.
Jakie są nowinki technologiczne w dziedzinie implantologii
Implantologia to dziedzina medycyny, która dynamicznie się rozwija dzięki postępom technologicznym oraz badaniom naukowym. Nowoczesne technologie pozwalają na coraz bardziej precyzyjne planowanie zabiegów oraz poprawę ich skuteczności. Jednym z najnowszych osiągnięć jest zastosowanie technologii CAD/CAM do projektowania i produkcji indywidualnych koron protetycznych, co zapewnia idealne dopasowanie do kształtu jamy ustnej pacjenta. Kolejnym innowacyjnym rozwiązaniem jest wykorzystanie skanowania 3D do tworzenia modeli anatomicznych, co umożliwia lekarzowi dokładniejsze zaplanowanie zabiegu oraz minimalizację ryzyka powikłań. Ponadto rozwój materiałów biokompatybilnych sprawia, że implanty stają się coraz bardziej trwałe i odporne na działanie czynników zewnętrznych. Niektóre kliniki zaczynają także stosować technologię laserową podczas zabiegów chirurgicznych, co przyspiesza proces gojenia oraz zmniejsza ból pooperacyjny.
Jakie są alternatywy dla implantów stomatologicznych
Choć implanty stomatologiczne są jedną z najskuteczniejszych metod leczenia braków zębowych, istnieją również inne opcje, które mogą być rozważane przez pacjentów. Jedną z najpopularniejszych alternatyw są mosty protetyczne, które pozwalają na uzupełnienie brakujących zębów poprzez osadzenie sztucznych zębów na zdrowych filarach. Mosty są tańszą opcją niż implanty i mogą być wykonane w krótszym czasie, jednak wymagają szlifowania zdrowych zębów sąsiadujących z luką. Inną możliwością są protezy ruchome, które mogą być stosowane w przypadku większych braków zębowych lub u pacjentów starszych. Protezy mają swoje zalety i wady; są tańsze niż mosty czy implanty, ale mogą powodować dyskomfort podczas noszenia oraz wymagać regularnej wymiany lub dostosowywania. Dla niektórych pacjentów dobrym rozwiązaniem mogą być także protezy stałe mocowane na implantach, które łączą zalety obu tych metod.
Jakie są najczęstsze pytania dotyczące implantów
Pacjenci często mają wiele pytań dotyczących implantów stomatologicznych przed podjęciem decyzji o ich wszczepieniu. Jednym z najczęściej zadawanych pytań jest to, jak długo trwa proces gojenia po wszczepieniu implantu. Czas ten może wynosić od kilku tygodni do kilku miesięcy w zależności od indywidualnych warunków anatomicznych oraz stanu zdrowia pacjenta. Inne pytanie dotyczy tego, czy zabieg jest bolesny; większość pacjentów zgłasza jedynie niewielki dyskomfort po zabiegu dzięki zastosowaniu znieczulenia miejscowego. Pacjenci często interesują się także tym, jak długo będą mogły korzystać z implantu; przy odpowiedniej higienie i regularnych wizytach kontrolnych implanty mogą służyć przez wiele lat lub nawet całe życie. Kolejnym istotnym pytaniem jest to dotyczące kosztów; warto zwrócić uwagę na to, że cena może się różnić w zależności od wielu czynników i warto skonsultować się ze specjalistą w celu uzyskania dokładnych informacji.
Zobacz także
-
Co to są implanty bezśrubowe?
Implanty bezśrubowe to nowoczesne rozwiązanie w dziedzinie stomatologii, które zyskuje coraz większą popularność wśród pacjentów…
-
Co to są implanty zębowe?
Implanty zębowe to nowoczesne rozwiązanie stomatologiczne, które pozwala na zastąpienie brakujących zębów. Składają się one…
-
Co to sa implanty?
Implanty to sztuczne struktury, które są wszczepiane do organizmu w celu zastąpienia brakujących lub uszkodzonych…












